Tratament parodontoză Timișoara
Tratamentul parodontozei în Timișoara devine esențial în momentul în care gingiile și osul care țin dinții „în picioare” încep să se retragă. Parodontoza nu e o simplă gingivită cu sângerare, ci o boală cronică, care avansează în timp și, lăsată netratată, ajunge la dinți mobili și, în final, la pierderi dentare.
Afecțiune: boală parodontală cronică
Cauză principală: bacteriană
Evoluție: lentă, progresivă
Scop tratament: stopare + stabilizare
Ce este parodontoza și de ce apare

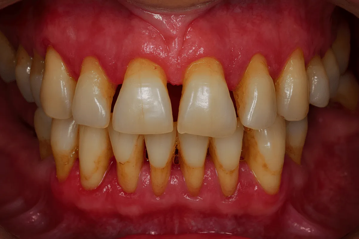
Parodontoza este o inflamație cronică ce afectează „fundația” dinților: gingia, ligamentul care îi fixează și osul din jur. De multe ori pornește ca o gingivită (sângerări, roșeață, disconfort), iar dacă nu e tratată la timp, inflamația coboară mai adânc. Atunci apar retracții gingivale, pungi parodontale și, treptat, pierdere de os — adică dinții încep să piardă suportul care îi ține stabili.
Principalul factor declanșator este placa bacteriană și tartrul, însă fumatul, diabetul, stresul, predispoziția genetică și igiena orală deficitară accelerează boala. Un tratament parodontoză Timișoara trebuie adaptat exact stadiului bolii.
Simptomele parodontozei
Boala parodontală este adesea insidioasă. Mulți pacienți cred că „sângerarea gingiilor” sau „respirația urât mirositoare” sunt normale, când de fapt sunt semne clare de parodontoză.
Simptomele includ: sângerare la periaj, gingii inflamate sau retrase, expunerea rădăcinilor, miros neplăcut persistent, mobilitatea dinților și modificarea poziției acestora.
Când este obligatoriu tratamentul parodontal
Tratamentul devine obligatoriu atunci când există pungi parodontale, mobilitate dentară sau pierdere osoasă vizibilă radiologic. Amânarea intervenției duce inevitabil la agravarea bolii și, în final, la extracții.
În multe cazuri, tratamentul parodontal face parte dintr-un plan mai amplu de servicii stomatologice, înainte de lucrări protetice sau implanturi.
Etapele tratamentului pentru parodontoză
- Consultație și evaluare parodontală completă
- Detartraj și igienizare profundă
- Chiuretaj subgingival și decontaminare
- Reevaluare clinică și radiologică
- Terapie parodontală avansată (la nevoie)
- Plan de menținere și monitorizare
Fiecare etapă este adaptată severității bolii și răspunsului biologic al pacientului.
Tratament parodontoză nechirurgical
În stadiile ușoare și medii, tratamentul este nechirurgical și presupune detartraj ultrasonic, chiuretaj manual și irigare antiseptică a pungilor parodontale. Scopul este eliminarea bacteriilor și reducerea inflamației.
Această etapă poate stabiliza boala și preveni evoluția ei, dacă este urmată corect de o igienă orală riguroasă.
Tratament parodontoză chirurgical
În formele avansate, când s-a pierdut deja mult os, tratamentul poate merge dincolo de igienizare și curățare „clasică”. Atunci discutăm despre chirurgie parodontală: se ridică gingia controlat ca să putem curăța direct zonele profunde (unde nu ajungi bine doar cu instrumente pe suprafață) și să reducem încărcarea bacteriană reală. În anumite situații, dacă anatomia și defectul osos permit, se pot folosi tehnici regenerative (materiale de grefare/membrane), cu obiectivul realist de a câștiga parțial suport osos și de a stabiliza dinții. Nu e magie și nu se aplică la orice caz, dar corect indicată poate schimba mult prognosticul pe termen lung..
Un tratament parodontoză Timișoara corect nu promite „vindecare completă”, ci control stabil al bolii.
Scopul terapiei parodontale este oprirea distrucției, stabilizarea dinților și menținerea lor funcțională cât mai mult timp. În multe cazuri, dinții pot fi păstrați ani sau zeci de ani.
Legătura dintre parodontoză și sănătatea generală
Parodontoza nu afectează doar cavitatea orală. Studiile arată legături clare între boala parodontală și afecțiuni precum diabetul, bolile cardiovasculare sau complicațiile sarcinii.
De aceea, tratamentul parodontozei este o investiție în sănătatea generală, nu doar estetică.
Preț tratament parodontoză Timișoara
Costul unui tratament parodontoză în Timișoara depinde de stadiul bolii, numărul de dinți afectați și complexitatea terapiei. Toate costurile sunt explicate în avans și pot fi consultate în lista de prețuri.
Întrebări frecvente despre parodontoză
Parodontoza se vindecă?
Este o boală cronică, dar poate fi ținută sub control.
Dinții mobili pot fi salvați?
De multe ori, da, dacă tratamentul este început la timp.
Tratamentul este dureros?
Se realizează cu anestezie locală, disconfort minim.
Cât durează tratamentul?
Etapa activă durează câteva săptămâni, urmată de monitorizare.
Este nevoie de întreținere?
Da, controale periodice și igienizări regulate.
Programare tratament parodontoză Timișoara
Dacă observați sângerări gingivale, retracții sau mobilitate dentară, tratamentul parodontozei în Timișoara nu trebuie amânat. Pentru evaluare completă și plan personalizat, vă puteți programa prin pagina de contact sau puteți analiza rezultate reale în cazurile clinice.