Gingivită – cauze și tratament în Timișoara
Gingivita – cauze și tratament în Timișoara este una dintre cele mai frecvente probleme pe care le vedem în stomatologia preventivă și parodontală. Este, practic, primul semnal că gingiile sunt inflamate. Vestea bună e că gingivita este reversibilă dacă o tratezi la timp; vestea proastă e că, lăsată netratată, poate evolua spre parodontoză, care deja înseamnă pierdere de os și risc real de mobilitate dentară.
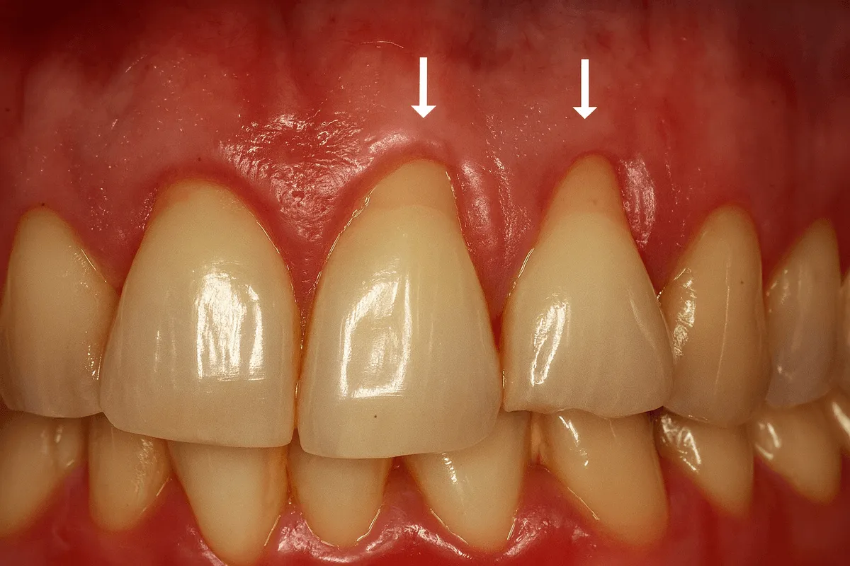
Mulți pacienți ignoră primele semne – sângerarea la periaj sau inflamația gingiei – considerându-le minore. În realitate, acestea sunt semnale clare ale unui dezechilibru bacterian ce necesită intervenție.
Afectare: țesut gingival superficial
Semn principal: sângerare gingivală
Reversibilitate: 100% în stadii incipiente
Risc major: parodontoză
Ce este gingivita
Gingivita este inflamația gingiei apărută, cel mai des, din cauza acumulării plăcii bacteriene pe dinți, în special la linia gingiei. Placa are bacterii care eliberează substanțe iritante, iar gingia răspunde prin roșeață, umflare și sângerare la periaj sau ață dentară.
Spre deosebire de parodontoză, gingivita nu afectează osul sau ligamentul dentar. Din acest motiv, un tratament de gingivită în Timișoara corect realizat poate restabili complet sănătatea gingivală.

Cauzele gingivitei
Cauza principală este igiena orală deficitară, dar numeroși factori favorizează apariția gingivitei.
Cauze locale
Placa bacteriană, tartrul, lucrările dentare incorecte, înghesuirile dentare sau obturațiile debordante creează zone greu de curățat, unde bacteriile se dezvoltă rapid.
Cauze generale
Dezechilibrele hormonale (sarcină, pubertate), diabetul, fumatul, stresul cronic, medicația și deficiențele nutriționale pot amplifica inflamația gingivală.
Semnele și simptomele gingivitei
Cele mai frecvente semne sunt sângerarea la periaj sau folosirea aței dentare, gingii roșii și umflate, sensibilitate locală și respirație neplăcută persistentă.
Durerea este de obicei absentă, motiv pentru care gingivita este adesea ignorată.
Când este necesar tratamentul gingivitei
Tratamentul trebuie inițiat imediat ce apar sângerarea gingivală și inflamația. Amânarea permite bacteriilor să pătrundă mai profund și crește riscul de pierdere osoasă.
Un plan corect de gingivită – cauze și tratament în Timișoara include atât proceduri profesionale, cât și corecții ale igienei la domiciliu.
Diagnosticarea gingivitei
Diagnosticul se bazează pe examen clinic, evaluarea sângerării, prezența tartrului și, la nevoie, investigații radiologice pentru excluderea afectării osoase.
Stabilirea diferenței dintre gingivită și parodontoză este esențială înaintea începerii tratamentului.
Etapele tratamentului pentru gingivită
- Îndepărtarea plăcii bacteriene și a tartrului
- Igienizare profesională completă
- Instructaj de igienă orală personalizat
- Controlul factorilor favorizanți
- Reevaluare clinică
Majoritatea cazurilor de gingivită se remit complet în 7–14 zile după tratament.
Tratament profesional pentru gingivită
Tratamentul constă în detartraj, periaj profesional și, la nevoie, airflow. Aceste manopere reduc rapid încărcarea bacteriană și inflamația gingivală.
În funcție de caz, pot fi recomandate ape de gură antiseptice sau geluri locale.
Rolul igienei orale acasă
Tratamentul profesional este eficient doar dacă este susținut de o igienă zilnică corectă: periaj de două ori pe zi, ață dentară și periuțe interdentare.
Periajul agresiv este contraindicat, deoarece poate agrava inflamația.
Clinic, peste 90% dintre cazurile de gingivită tratate corect se remit complet. Succesul depinde de complianța pacientului și controalele periodice.
Ce se întâmplă dacă gingivita nu este tratată
Netratată, gingivita evoluează către parodontoză, cu distrugerea osului și mobilitate dentară. Procesul este lent, dar ireversibil.
Prevenția este mult mai simplă și mai puțin costisitoare decât tratamentul complicațiilor.
Preț tratament gingivită Timișoara
Prețul pentru tratamentul gingivitei în Timișoara depinde de cantitatea de tartru și numărul de ședințe. Detalii complete sunt disponibile în lista de prețuri.
Întrebări frecvente despre gingivită
Gingivita este dureroasă?
De obicei nu, ceea ce o face ușor de ignorat.
Dispare fără tratament?
Nu. Placa bacteriană trebuie îndepărtată profesional.
Cât durează vindecarea?
7–14 zile în majoritatea cazurilor.
Poate reapărea?
Da, dacă igiena nu este menținută.
Este contagioasă?
Nu, dar bacteriile orale se pot transmite.
Programare gingivită – cauze și tratament Timișoara
Dacă observați sângerări gingivale, respirație neplăcută sau inflamație persistentă, tratamentul gingivitei în Timișoara trebuie început cât mai devreme. Vă puteți programa rapid prin pagina de contact sau consulta rezultate reale în cazurile clinice. Pentru integrarea tratamentului în planuri complexe, puteți vedea toate serviciile stomatologice.