Parodontoză avansată Timișoara
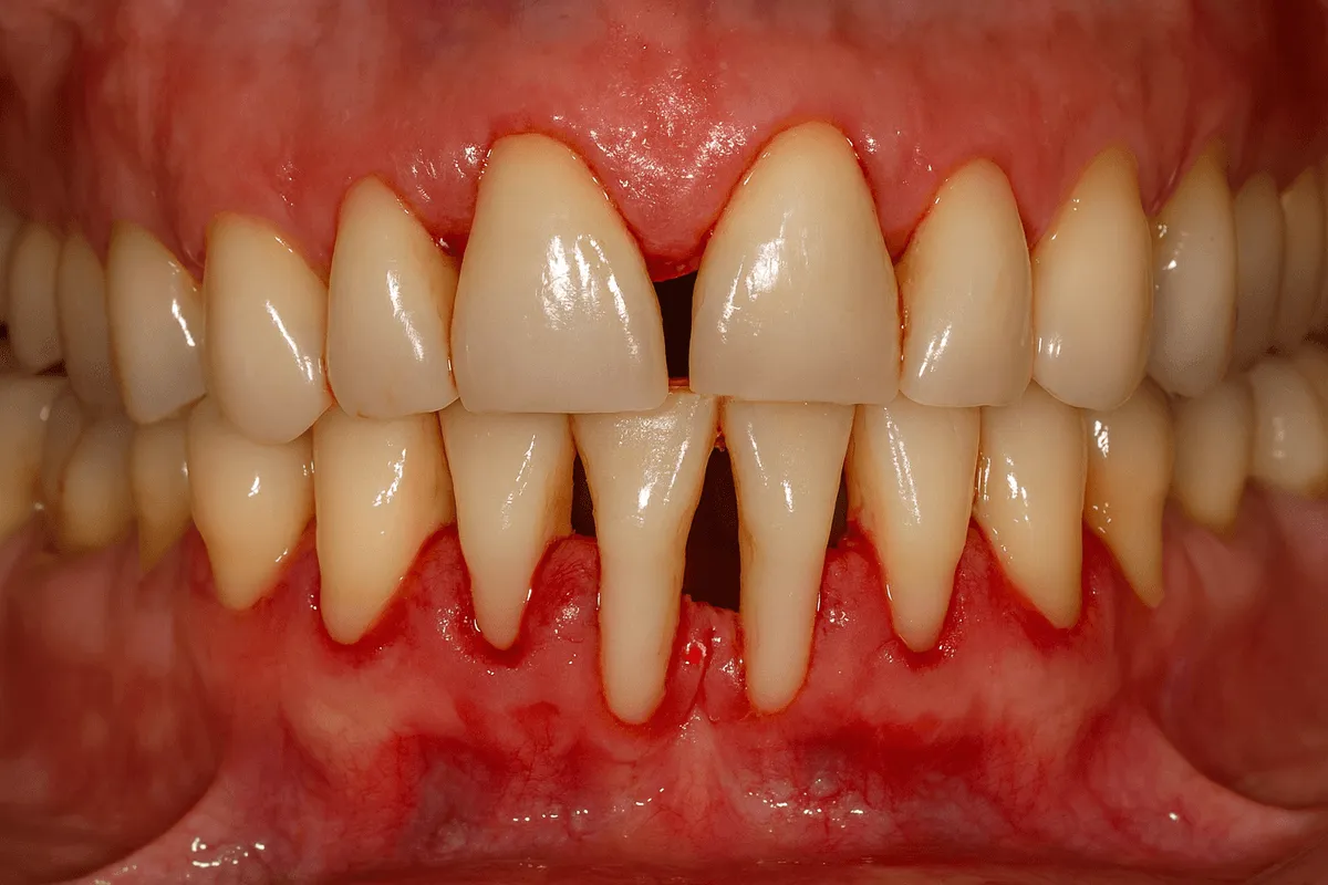
Parodontoza avansată în Timișoara e stadiul în care boala parodontală a trecut de gingie și a afectat serios osul care ține dinții: apar pungi parodontale adânci, retracții, sângerare și, cel mai important, dinți care încep să se miște. În acest punct, o simplă igienizare nu mai rezolvă problema. Tratamentul se face pe etape, cu un scop clar: să oprim progresia, să reducem infecția și să păstrăm dinții cât se mai poate, în condiții stabile și controlabile.
Deși parodontoza avansată este o afecțiune cronică, în multe cazuri dinții pot fi salvați și menținuți funcționali ani de zile dacă terapia este corect planificată și monitorizată.
Stadiu: sever, progresiv
Afectare: gingie + os alveolar
Risc principal: pierderea dinților
Obiectiv: stopare + stabilizare
Ce este parodontoza avansată și cum evoluează

Parodontoza avansată este rezultatul netratării sau tratării incorecte a formelor incipiente de boală parodontală. Infecția bacteriană persistentă determină distrugerea ligamentului parodontal și resorbția osului care susține dinții.
Pe măsură ce osul se pierde, dinții devin mobili, migrează și pot ajunge imposibil de salvat fără tratament complex. Un tratament pentru parodontoză avansată Timișoara urmărește oprirea acestui proces distructiv.
Semnele clare ale parodontozei avansate
Spre deosebire de formele ușoare, parodontoza avansată are semne evidente: retracții gingivale mari, alungirea dinților, puroi gingival, miros fetid persistent și mobilitate vizibilă.
Mulți pacienți se prezintă târziu, când funcția masticatorie este deja afectată. Chiar și în acest stadiu, tratamentul poate preveni pierderea tuturor dinților.
Când este obligatoriu tratamentul parodontozei avansate
Tratamentul este obligatoriu imediat ce există pierdere osoasă semnificativă sau mobilitate dentară. Amânarea duce la colapsul rapid al suportului dentar și la extracții în lanț.
În majoritatea cazurilor, tratamentul se integrează într-un plan complex de servicii stomatologice, urmat apoi de stabilizări protetice sau implantare.
Etapele tratamentului pentru parodontoză avansată
- Evaluare parodontală completă și radiologică
- Igienizare profesională profundă
- Chiuretaj subgingival extins
- Terapie parodontală chirurgicală (la nevoie)
- Stabilizare dentară și protezare temporară
- Plan strict de menținere
Fiecare etapă este adaptată severității bolii și răspunsului individual al pacientului.
Tratament nechirurgical în parodontoză avansată
Chiar și în formele severe, tratamentul începe nechirurgical. Detartrajul subgingival și chiuretajul reduc masiv încărcătura bacteriană și inflamația.
Faza asta inițială e esențială, pentru că îți arată clar cum răspunde organismul la tratament: cât de repede scade inflamația, cât se reduc sângerarea și pungile parodontale și dacă țesuturile se pot stabiliza.
Tratament chirurgical parodontal
Atunci când pungile parodontale sunt profunde și osul este sever afectat, tratamentul chirurgical parodontal permite accesul direct la zonele distruse.
Scopul nu este „refacerea completă” a osului, ci stoparea pierderii și crearea unui mediu stabil.
În practică, parodontoza avansată bine tratată poate fi menținută sub control ani de zile. Stabilitatea depinde de tratament corect și colaborarea pacientului.
Stabilizarea dinților în parodontoza avansată
Dinții mobili pot fi stabilizați prin șlefuiri selective, imobilizări provizorii sau lucrări protetice adaptate. Scopul este redistribuirea corectă a forțelor masticatorii.
Ulterior, se pot implementa soluții protetice sau implantologice acolo unde prognosticul o permite.
Impactul parodontozei avansate asupra sănătății generale
Inflamația cronică parodontală este asociată cu diabetul necontrolat, bolile cardiovasculare și infecțiile sistemice. Tratarea parodontozei reduce riscurile generale de sănătate.
Preț tratament parodontoză avansată Timișoara
Costul unui tratament pentru parodontoză avansată în Timișoara variază în funcție de severitate, numărul de dinți afectați și necesitatea intervențiilor chirurgicale. Detaliile sunt explicate transparenț în lista de prețuri.
Întrebări frecvente despre parodontoza avansată
Se mai pot salva dinții?
În multe cazuri, da, dacă tratamentul începe la timp.
Este parodontoza vindecabilă?
Nu complet, dar poate fi controlată stabil.
Tratamentul este dureros?
Se desfășoară cu anestezie locală.
Cât durează stabilizarea?
Faza activă durează câteva săptămâni.
Este necesară întreținerea?
Da, controale și igienizări periodice.
Programare parodontoză avansată Timișoara
Dacă vă confruntați cu mobilitate dentară, retracții gingivale severe sau infecții recurente, tratamentul parodontozei avansate în Timișoara trebuie început cât mai rapid. Pentru evaluare completă și plan personalizat, vă puteți programa prin pagina de contact sau consulta rezultate reale în cazurile clinice.